Real Teeth Again
Thanks to the cost effective revolutionary solution
in modern cosmetic dentistry
Innovation 4
Strength and Durability
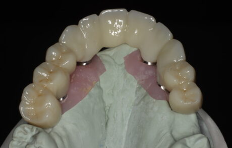
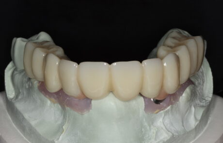
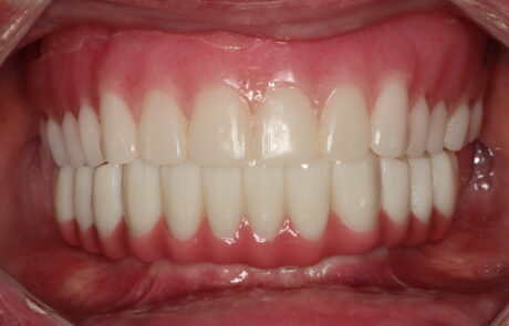
Fracture resistance is one of the key criteria when it comes to engineering full arch implant prosthetics and this important issue has plagued dentists for decades. By employing proprietary designs and engineering innovations, Dr. Leo Malin and Implant Logistics have revolutionized the complete process for full arches while increasing strength and durability across the board. No screws, no screw channels, and no metal housings are required to seat the ZircOnX zirconia bridges. Now, every dentist can offer patients a truly fixed product with unparalleled durability and function, just like real teeth again







